Ortho-ATI™ - Autologous Tenocyte Implantation

For the regeneration of human tendon

Orthocell’s Ortho-ATI™ is a first-in-class cell therapy for treatment of chronic degenerative tendon injuries. Ortho-ATI™ addresses a significant unmet clinical need for a safe, effective and non-surgical solution for a debilitating injury affecting millions of people every year. The unique treatment uses each patient’s own tendon-derived cells to stimulate tendon regeneration and is delivered via ultrasound guided injection under local anaesthetic.

Orthocell has embarked on an evidenced based clinical development program focused on safety and performance in multiple tendon indications, including shoulder, elbow, hip, knee and ankle. Further information about our clinical trials, click here.

tennis elbow injection.jpg

Autologous tenocytes injected into the elbow using ultrasound guidance

Key Benefits

Ortho-ATI™ addresses the underlying pathology of tendon injury, replenishing degenerative tissue with healthy mature tendon cells.

The benefits of Ortho-ATI™ are

  • Accelerated repair of tendon tissue

  • Minimally-invasive, non-surgical therapy

  • Cost effective compared to surgery

  • Patients can return to work, recreational activities and competitive sport in a shorter time

  • Clinically validated, with 500 + patients treated

  • 82% success rate in treating chronic tendon injuries

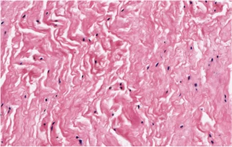
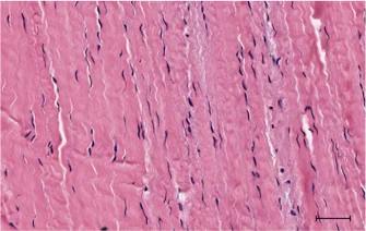
             Healthy tendon                                              Degenerate tendon

How does Ortho-ATIwork? 

A biopsy of healthy tendon, performed in a doctor's rooms using a local anaesthetic, is sent to our GMP-liscensed laboratory where tendon cells proliferate (increase in number) under controlled conditions. The tendon cells are then implanted by injection into the affected tendon approximately 4 – 5 weeks after the initial biopsy. The injection is given in the doctor's rooms as a walk-in/walk-out procedure.

For more detail about the research and procedure, download our Ortho-ATI iBook from the iBookstore and GooglePlay sites below.

Patient testimonials

“Before having the treatment I underwent three lots of surgery and had pretty much accepted I would never be 100% again. I have experienced a 100% recovery, I am pain free, able to exercise and run without issue. I have been able to continue my job as a tactical flight officer”- Patient Dean Allison

“Prior to Ortho-ATI I had corticosteroid injections, blood/PRP injections and three separate surgeries and nothing worked. I could not walk 2kms without severe swelling and pain. I was in constant pain every night and for three years I woke at 3am in severe pain. Four weeks after the injection I walked 12km’s, slept soundly and exercised without a limp. I can also run again” - Patient Jane Naughton

Information

for Patients

1.)  10-IFU-09 Ortho-ATI™ Consumer Medicines Information - Download

for Professionals

2.) Ortho-ATI™ procedural technique

Publications

January 2018

Physical Therapy in Sport

Autologous Tenocyte Implantation for shoulder tendon pathology in an elite swimmer. 

Case report of an elite male swimmer with subscapularis tendon pathology who recieved Ortho-ATI™ treatment after failing conservative management. Post-treatment review by a blinded radiologist demonstrated a significant reduction in tear size and improved tendon morphology. The athlete returned to full training pain free and competed at an international level 4 months post-treatment.

February 2017

Orthopedic Journal of Sports Medicine

Autologous Tenocyte Injection for the Treatment of Chronic Recalcitrant Gluteal Tendinopathy - A Prospective Pilot Study. 

Clinical study of Ortho-ATI™ treatment in patients with chronic gluteal tendinopathy with symptom duration greater than six months, and failure to respond to conservative treatments, including corticosteroid injection. Ortho-ATI™ treatment significantly improved clinical outcomes such as pain and disability at 12 and 24 months post treatment.

November 2016

Orthopedic Journal of Sports Medicine

Lateral Elbow Tendinopathy: Development of a Pathophysiology-Based Treatment Algorithm. 

Scientific review article that describes the stages of pathology of tennis elbow. Provides evidence-based, graded treatment principles and associated treatment options for each stage of pathology.

 April 2015

American Journal of Sports Medicine

Evidence for the Durability of Autologous Tenocyte Injection for Treatment of Chronic Resistant Lateral Epicondylitis - Mean 4.5 Year Clinical Follow-up.

This was a clinical study of Ortho-ATI™ in patients with tennis elbow, whose symptom duration was greater than six months, and failed to respond to conservative treatments, including corticosteroid injection. Ortho-ATI™ treatment significantly improved clinical function (pain, disability and grip strength) and tendon structure for up to 5 years after treatment.

 June 2014

EFORT Congress - London

Abstract - Autologous Tenocyte Implantation for Gluteal Tendinopathy, an update with 24 month follow-up

Ortho-ATI™ significantly improved clinical outcome in patients with chronic gluteal tendinopathy at 24 months. We remain guarded about the level of efficacy given the small sample size, however this study has shown promise to plan a larger randomised controlled study. 

 September 2013 

American Journal of Sports Medicine

Autologous Tenocyte Injection for the Treatment of Severe, Chronic Resistant Lateral Epicondylitis: A Pilot Study’

In this study, patients with chronic LE who had previously undergone an unsuccessful full course of nonoperative treatment showed significantly improved clinical function and structural repair at the origin of the common extensor tendon after ATI. This novel treatment is encouraging for the treatment of tendinopathy and warrants further evaluation.

January 2013 

BMJ Case Reports

Autologous Tenocyte Implantation, A Novel Treatment for Partial-Thickness Rotator Cuff Tear and Tendinopathy in an Elite Athlete. 

In this clinical case study of Ortho-ATI® treatment for rotator cuff injury in an elite gymnast, the patient reported substantial improvements in pain and function at one year after treatment. MRI scan showed that the tendinopathy had improved with complete healing of the tendon tear.

June 2011 

Journal of Tissue Engineering - Part A

Autologous Tenocyte Therapy for Experimental Achilles Tendinopathy in a Rabbit Model

Autologous tenocyte treatment (ATT) improved tendon remodeling, histological outcomes, collagen content, and tensile strength of tendinopathic Achilles tendons.  This study suggests ATT may be a useful treatment of chronic Achilles tendinopathy.

June 2010 

Journal of Shoulder and Elbow Surgery

In Chronic Lateral Epicondylitis, Apoptosis and Autophagic Cell Death Occur In The Extensor Carpi Radialis Brevis Tendon

This study demonstrated that cell death occurs in the ECRB tendon in chronic lateral epicondylitis. The markedly elevated cell death rate in the grade II cell matrix may be responsible for the decrease in cellularity and further deterioration of collagen quality seen in end-stage grade III matrix. This eventually compromised the tendon's ability to maintain its integrity and resulted in tendon tear. The study suggests cell death plays an important role in the development of tendon degeneration in chronic lateral epicondylitis.

 June 2007

Journal of Tissue Engineering

Autologous Tenocyte Therapy Using Porcine Derived Bio-scaffolds for Massive Rotator Cuff Defects in Rabbits

This study suggests the implantation of autologous tenocytes on collagen-based bioscaffolds results in better rotator cuff tendon healing and remodeling than with the implantation of bioscaffold alone.